Caso: Maloclusión y deformidad dentofacial

Presentamos un caso de mentoplastia de avance y de disminución vertical con bichectomía

Imágenes antes del tratamiento.

Maxilonet-Maloclusión y deformidad dentofacial
Caso: Maloclusión y deformidad dentofacial

Imágenes después del tratamiento.

Maxilonet-Maloclusión y deformidad dentofacial 3
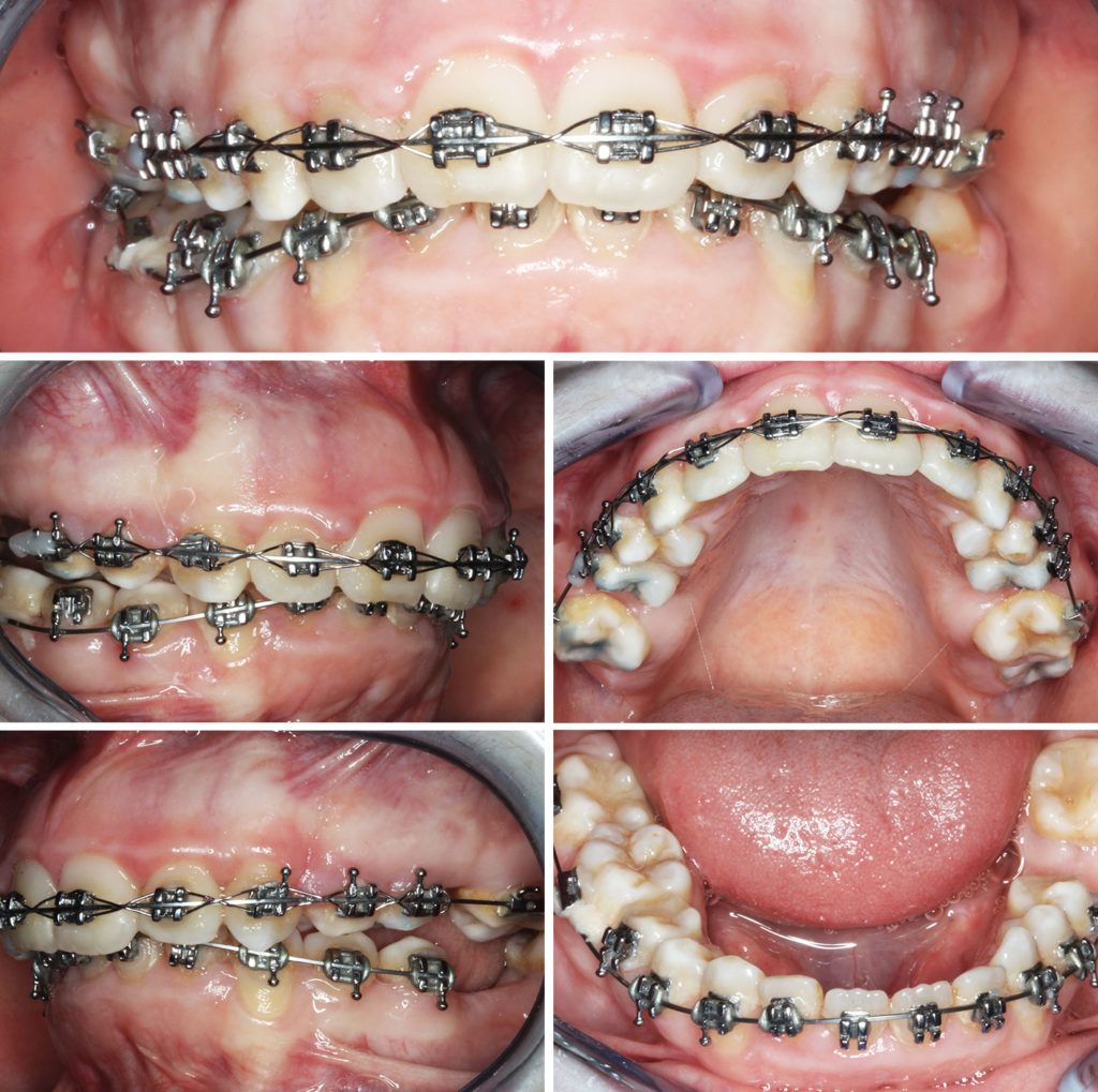
Después de ortognática Maxilonet
Después de ortognática Maxilonet
Después de ortognática Maxilonet
Después de ortognática Maxilonet